Nha khoa Phạm Dương tự tin có thể đạt được mọi tiêu chuẩn khắt khe nhất trong nắn chỉnh răng cho mọi lứa tuổi.
1. Trước hết hãy tìm hiểu nắn chỉnh răng là gì?
Nắn chỉnh răng là một chuyên ngành sâu trong nha khoa có nhiệm vụ chẩn đoán, phòng ngừa, can thiệp và điều trị tất cả các loại lệch lạc về răng – hàm – mặt bằng việc sử dụng các khí cụ trong miệng hoặc ngoài mặt để tạo được khuôn mặt hài hòa về thẩm mỹ và chức năng.
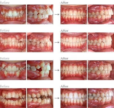
Một số thành quả của chỉnh nha:

2. Tại sao cần lựa chọn chỉnh nha tại cơ sở uy tín?
Việc nắn chỉnh nha là một kỹ thuật có nhiều phức tạp, cần phải được thực hiện bởi "Bác sĩ chuyên sâu về chỉnh nha" mà trên thế giới gọi là "Orthodontist" và để bác sĩ có thể theo dõi trong suốt quá trình điều trị với bạn gần 2 năm.
Do đó giải pháp tối ưu cho chỉnh nha – niềng răng của bạn chính là chọn những cơ sở đáp ứng được yêu cầu khắt khe về "Trang thiết bị chuẩn đoán tình trạng khớp cắn sai" và "Bác sĩ chỉnh nha có tay nghề vững chắc, chuyên môn cao". Bạn sẽ tìm thấy hai điều đó tại PhamDuong Dental Studio.
3. Nha khoa Phạm Dương đáp ứng yêu cầu khắt khe về chỉnh nha cho mọi lứa tuổi.
PhamDuong Dental Studio tự hào là số ít cơ sở hiện tại đã đầu tư sử dụng lên tới 2 máy chụp film công nghệ Cone Beam CT và chụp film kỹ thuật số tái tạo 3D trong phân tích các thông số quan trọng của xương sọ mặt, giúp việc phân tích tình trạng khớp cắn sai của từng khách hàng chính xác và nhanh chóng hơn. Việc phân tích này sẽ là bước đầu tiên đảm bảo nâng cao tỉ lệ thành công của các ca điều trị cho khách hàng của mình.
Bên cạnh đó phải nhắc đến đội ngũ chuyên gia hàng đầu về nắn chỉnh nha của PhamDuong Dental Studio:
TS. BSNT Nguyễn Bích Ngọc – Thành viên hiệp hội Nắn chỉnh nha thế giới WFO, phó chủ nhiệm bộ môn nắn chỉnh nha, Viện đào tạo Răng Hàm Mặt - trường Đại học Y Hà Nội.
Thạc sĩ Nguyễn Lan Anh – tốt nghiệp thạc sĩ tại đại học Kyungpook, Hàn Quốc. Chuyên ngành nắn chỉnh nha.
Với kinh nghiệm hơn 25 năm trong điều trị nắn chỉnh nha từ những trường hợp đơn giản đến phức tạp cho mọi lứa tuổi. PhamDuong Dental Studio hoàn toàn đáp ứng những yêu cầu khắt khe nhất về kỹ thuật chỉnh nha và theo sát bạn trong suốt liệu trình điều trị.

Đội ngũ Bác sĩ chuyên nắn chỉnh nha tại Nha khoa Phạm Dương
Với tiêu chí hàng đầu về chỉnh nha cho mọi lứa tuổi – an toàn, hiệu quả cao, chỉnh nha – niềng răng tại PhamDuong Dental Studio bạn sẽ luôn an tâm trong suốt liệu trình điều trị. Chọn chỉnh nha – niềng răng, hãy lựa chọn cơ sở uy tín vì nụ cười rạng rỡ và hàm răng sáng đều của bạn.
Liên hệ đặt lịch khám cho bạn và gia đình tại Nha khoa Phạm Dương:
Hotline: 09.2929.6666
Địa chỉ: Nha khoa Phạm Dương - tầng 4, 5 P Tower, số 52 Bà Triệu, Hoàn Kiếm, Hà Nội.
Website: https://nhakhoaphamduong.vn/