Khi gặp các vấn đề như hô, móm, mất răng, răng xô lệch, nhiễm thuốc kháng sinh bị vàng răng…bạn đang lo lắng về khuôn miệng mất thẩm mỹ của mình, nó kéo theo là sự mất thẩm mỹ của khuôn mặt, nét mặt không hài hòa và nụ cười không tươi tắn như những người khác. Vậy giải pháp cho nụ cười đẹp là gì, Nha Khoa Phạm Dương chính là một địa chỉ uy tín và chính là giải pháp cho nụ cười đẹp, khuôn mặt tự nhiên.
Giải pháp an toàn cho nụ cười đẹp
Nếu bạn mất tự tin khi bị hô, móm, mất răng, răng lệch lạc, sậm màu, nhiễm thuốc kháng sinh bị vàng răng… và lúng túng không biết phải bắt đầu từ đâu, điều trị vấn đề nào trước, vấn đề nào sau, bạn nên đến một phòng khám nha khoa có đầy đủ các trang thiết bị, bác sĩ chuyên về chỉnh nha, bác sĩ chuyên về implant… để có kế hoạch điều trị tổng quát. Bạn sẽ được nha sĩ lên kế hoạch điều trị cụ thể như cạo vôi răng định kỳ; trám các răng sâu, mẻ; chữa tủy các răng sâu lớn, nhiễm trùng; chỉnh nha răng lệch lạc, hô, móm; tẩy trắng răng vàng ố; bọc mão sứ răng nhiễm kháng sinh bị vàng răng; phẫu thuật nướu cho răng cười hở lợi; làm implant hoặc cầu răng cho răng mất…

Giải pháp an toàn cho nụ cười tươi đẹp
Một người có thể có nhiều vấn đề cùng một lúc như bị mất răng, các răng còn lại ngày càng xô lệch, còn màu răng thì xám do nhiễm thuốc kháng sinh bị vàng răng. Điều quan trọng là bạn cần tìm đúng người có thể cho bạn một kế hoạch hoàn chỉnh để lấy lại nụ cười đẹp. Nha khoa Phạm Dương với bề dày trên 27 năm kinh nghiệm, và đội ngũ bác sĩ với đầy đủ các chuyên môn về răng sứ, chỉnh nha, implant, sẽ lên kế hoạch chu đáo cho bạn.
Sau đây là một vài trường hợp cơ bản cho cải thiện hàm răng của bạn
Răng bị ố màu do thực phẩm, tuổi tác
Tẩy trắng bằng đèn sẽ cho kết quả nhanh chỉ sau một giờ và quá trình tẩy trắng diễn ra rất an toàn, dễ chịu. Bạn cũng có thể chọn tẩy trắng tại nhà với chi phí tiết kiệm hơn nhưng cần nhiều thời gian hơn so với tẩy trắng tại nha khoa.
Răng nhiễm thuốc kháng sinh bị vàng răng nhẹ
Tẩy trắng bằng đèn Plasma là công nghệ tẩy trắng hiện đại. Tẩy bằng đèn Plasma cho kết quả tẩy trắng tốt nhất nhưng các trường hợp răng nhiễm kháng sinh bị vàng răng thì kết quả chỉ sáng hơn so với lúc bình thường chứ không trắng đẹp được như răng sứ.

Răng nhiễm thuốc kháng sinh bị vàng răng nhẹ
Răng nhiễm thuốc kháng sinh bị vàng răng nặng hơn
Bạn có thể chọn phương án Veneer sứ nếu răng bạn tương đối đều và khớp cắn không quá đặc biệt. Phương án tẩy trắng răng bằng đèn Zoom kết hợp với veneer có thể cho kết quả như ý.

Răng nhiễm thuốc kháng sinh bị vàng răng nặng hơn
Răng lệch lạc và tối màu
Phục hình răng sứ sẽ phù hợp cho các trường hợp răng nhiễm thuốc kháng sinh bị vàng răng nặng, răng lệch lạc và có mất răng, khắc phục được một phần tình trạng hô, móm do răng. Đôi khi cần sự kết hợp giữa chỉnh nha và răng sứ để cho ra kết quả tốt . Nha khoa Phạm Dương sử dụng hệ thống labo CAD/CAM sẽ làm ra chiếc răng sứ tỉ mỉ theo đúng chỉ định của bác sĩ. Với hệ thống CAD/CAM, các bệnh nhân ở xa có thể có răng sứ trong thời gian sớm nhất hoặc ngay trong ngày.

Răng lệch lạc và tối màu
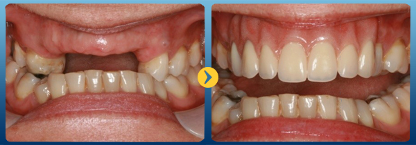
Trường hợp mất răng
Bác sĩ thường chỉ định cấy ghép implant hoặc cầu răng sứ. Trong trường hợp mất răng lâu năm khiến các răng còn lại bị xô lệch, giải pháp cho bạn có thể là kết hợp giữa chỉnh nha, implant và cả răng sứ.

Trường hợp mất răng
Có nhiều cách phục hình lại răng mất nhưng phương án nào là tốt và phù hợp với bạn sẽ được bác sĩ tư vấn rõ ràng hơn khi thăm khám. Nha khoa Phạm Dương với đội ngũ bác sĩ tận tâm, giàu kinh nghiệm, trang thiết bị hiện đại cho tẩy trắng răng, implant, chỉnh nha, răng sứ… sẽ cho bạn kết quả như ý.